Advanced Diagnostic & Interventional Radiology Research Center | Correlation of clinical, laboratory, and short term outcomes of immunocompromised and immunocompetent COVID 19 patients with semi quantitative chest CT score findings: A case control study

Advanced Diagnostic & Interventional Radiology Research Center | Correlation of clinical, laboratory, and short term outcomes of immunocompromised and immunocompetent COVID 19 patients with semi quantitative chest CT score findings: A case control study
| Dec 9 2025
logo

Advanced Diagnostic & Interventional Radiology Research Center

  • Release Date : Sep 22 2024 - 14:07
  • : 139
  • Study time : 1 minute(s)

Correlation of clinical, laboratory, and short term outcomes of immunocompromised and immunocompetent COVID 19 patients with semi quantitative chest CT score findings: A case control study

 {faces}
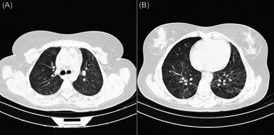
Background: As the effects of immunosuppression are not still clear on COVID-19 patients, we conducted this study to identify clinical and laboratory findings associated with pulmonary involvement in both immunocompromised and immunocompetent patients.
 
Methods: A case-control of 107 immunocompromised and 107 immunocompetent COVID-19 patients matched for age and sex with either positive RT-PCR or clinical-radiological findings suggestive of COVID-19 enrolled in the study. Their initial clinical features, laboratory findings, chest CT scans, and short-term outcomes (hospitalization time and intensive care unit [ICU] admission) were recorded. In addition, pulmonary involvement was assessed with the semi-quantitative scoring system (0-25).
 
Results: Pulmonary involvement was significantly lower in immunocompromised patients in contrast to immunocompetent patients, especially in RLL (p = 0.001), LUL (p = 0.023), and both central and peripheral (p = 0.002), and peribronchovascular (p = 0.004) sites of lungs. Patchy (p < 0.001), wedged (p = 0.002), confluent (p = 0.002) lesions, and ground glass with consolidation pattern (p < 0.001) were significantly higher among immunocompetent patients. Initial signs and symptoms of immunocompromised patients including dyspnea (p = 0.008) and hemoptysis (p = 0.036), respiratory rate of over 25 (p < 0.001), and spo2 of below 93% (p = 0.01) were associated with higher pulmonary involvement. Total chest CT score was also associated with longer hospitalization (p = 0.016) and ICU admission (p = 0.04) among immunocompromised patients.
 
Conclusions: Pulmonary involvement score was not significantly different among immunocompromised and immunocompetent patients. Initial clinical findings (dyspnea, hemoptysis, higher RR, and lower Spo2) of immunocompromised patients could better predict pulmonary involvement than laboratory findings.
 
Keywords: COVID‐19; case‐control; chest CT score; immunocompetent; immunocompromised.
  • Article_DOI :
  • Author(s) :
  • News Group : research,articles,covid,research article,covid 19
  • News Code : 278756
نفیسه سادات قوامی
Author:

نفیسه سادات قوامی

0 Comments for this article

comment

Post your comment:

متن درون تصویر را در جعبه متن زیر وارد نمائید *
Enter your desired term to search
Theme settings