Advanced Diagnostic & Interventional Radiology Research Center | Spontaneous ovarian hyperstimulation syndrome

Advanced Diagnostic & Interventional Radiology Research Center | Spontaneous ovarian hyperstimulation syndrome
| Dec 9 2025
logo

Advanced Diagnostic & Interventional Radiology Research Center

scientific researches

  • Release Date : Jun 15 2025 - 12:41
  • : 64
  • Study time : Less than one minute

Spontaneous ovarian hyperstimulation syndrome mimicking ovarian cancer in a nonpregnant woman: A case report and literature review

 {faces}

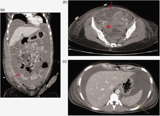
Spontaneous ovarian hyperstimulation syndrome is an extremely rare condition, especially in nonpregnant women who do not exhibit exogenous ovarian stimulation. Herein, we present a case of spontaneous ovarian hyperstimulation syndrome in a 28-year-old nonpregnant woman who presented with life-threatening multiorgan dysfunction. Initial imaging studies and tumor marker assessment suggested the presence of a malignant ovarian tumor, posing substantial diagnostic challenges. The patient underwent emergency surgery due to severe hemorrhagic shock. Intraoperative findings revealed irregular and deformed ovaries; however, histologic examination showed luteinizing hemorrhagic cysts, leading to a diagnosis of spontaneous ovarian hyperstimulation syndrome. This case highlights the importance of considering spontaneous ovarian hyperstimulation syndrome in the differential diagnosis of ovarian enlargement with ascites, even in the absence of pregnancy or ovarian stimulation. It also underscores the critical role of expert radiological interpretation in such complex cases.

  • Article_DOI : 10.1177/03000605251332908
  • Author(s) : setareh akhavan,mina sadat mousavi
  • News Group : research,research article
  • News Code : 299701
نفیسه سادات قوامی
Author:

نفیسه سادات قوامی

0 Comments for this article

comment

Post your comment:

متن درون تصویر را در جعبه متن زیر وارد نمائید *
Enter your desired term to search
Theme settings