Huge splenomegaly, a rare presentation of multicentric Castleman’s disease in an HIV infected patient: a case report and literature review
Introduction:
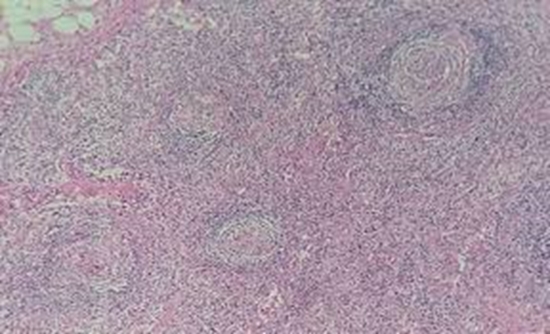
Castleman’s disease (CD) is characterized by non-neoplastic lymph node hyperplasia, and may be localized in a single lymph node (unicentric) or occurs systemically (multicentric). Nowadays, multicentric CD is most commonly observed in individuals infected with human immunodeficiency virus (HIV) type 1, in association with Kaposi’s sarcoma. Histopathologic and immunohistochemical evaluation of excised lymph node as well as imaging modalities, such as computed tomography (CT) and magnetic resonance imaging, are required for the diagnosis of CD.
Case description:
We present a case of 46-year-old HIV-infected woman with fever, weakness, weight loss, and splenomegaly in the past 18 months. On physical examination, pale conjunctiva, jaundice, multiple cervical, inguinal, and axillary lymphadenopathies as well as hepatosplenomegaly were detected. Chest CT scan showed alveolar opacity in the lower lobe of the right lung and multiple lymph nodes in the mediastinum and bilateral perivascular, cervical, and axillary areas. Abdominopelvic CT scan showed huge splenomegaly, hepatomegaly, and multiple bilateral para-aortic, celiac, and inguinal lymphadenopathies, which were further confirmed as CD in pathological examination.
Conclusions:
Huge splenomegaly is a rare manifestation in CD. Among the more prevalent differential diagnoses, CD in patients with HIV and huge splenomegaly was emphasized as important differential diagnosis.

comment