عربی مرکز تحقیقات رادیولوژی نوین و تهاجمی | ترابط القطر الشرياني الرئوي مع شدة ارتفاع الضغط الرئوي وNT-ProBN

عربی مرکز تحقیقات رادیولوژی نوین و تهاجمی | ترابط القطر الشرياني الرئوي مع شدة ارتفاع الضغط الرئوي وNT-ProBN
TUMS Website | Jan 2 2026
logo

مركز أبحاث الأشعة التشخيصية والتداخلية المتقدمة

  • تاریخ انتشار : 16/10/1445 - 11:35
  • تعداد بازدید کنندگان خبر : 51
  • زمان مطالعه : أقل من دقيقة

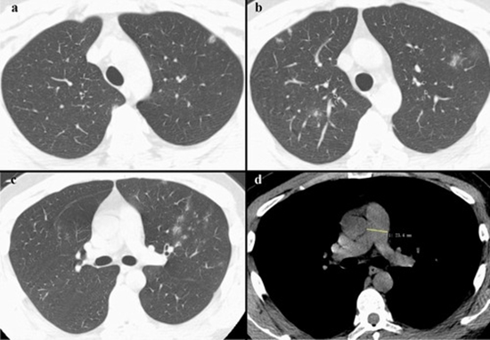
دراسة الترابط بين قطر الجذع الشرياني الرئوي حسب التصوير المقطعي المحوسب وشدة ارتفاع ضغط الشريان الرئوي في تخطيط صدى القلب، ومستوى NT-ProBNP في الدم لدى المرضى المصابين بارتفاع ضغط الشريان الرئوي خلال عامي 2019-2020 في مستشفى الإمام الخميني بطهران

همبستگی بین دیامتر تنه شریان ریوی درct و شدت هیپرتانسیون آن در اکوکاردیوگرافی
  • گروه خبری : پژوهش,طرح
  • کد خبر : 280580
کلمات کلیدی
مدیر سایت
:

مدیر سایت