عربی مرکز تحقیقات رادیولوژی نوین و تهاجمی | ترتبط علامة الهدف بنتائج سلبية في مرضى كوفيد

عربی مرکز تحقیقات رادیولوژی نوین و تهاجمی | ترتبط علامة الهدف بنتائج سلبية في مرضى كوفيد
TUMS Website | Feb 15 2026
logo

مركز أبحاث الأشعة التشخيصية والتداخلية المتقدمة

  • : 11/01/1446 - 10:04
  • : 41
  • : أقل من دقيقة

Is Target Sign (Bull’s Eye Appearance) associated with adverse outcomes in COVID-19 patients? A Case Series and Literature Review

adverse outcomes in COVID-19 patients {faces}

Background:

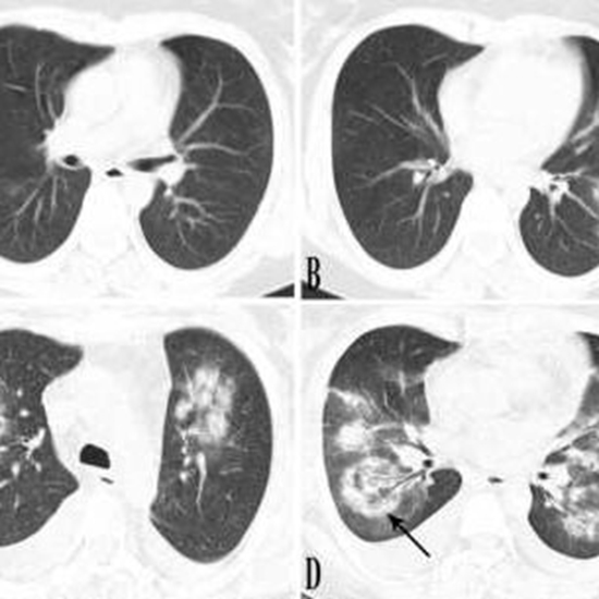
In COVID-19 pneumonia, chest CT scan plays a crucial role in diagnosing and closely monitoring lung parenchyma. The main reportedly chest CT features of novel coronavirus pneumonia (NCP) have been fully discussed in the literature, but there is still a paucity of reports on uncommon CT manifestations.

Case presentation:

Herewith, we have reported ten rRT-PCR confirmed COVID-19 patients with CT target signs (bull’s eye appearance); additionally, we have reviewed previously reported cases. Reviewing the literature, we found eight COVID-19 patients with target sign in the literature. 18 patients were included with a median age of 43. 11 (61%) patients were males. In 87% of patients, the lesions developed within the second-week post symptom onset. These patients mostly experienced an extended hospital stay (median = 10 days), with 53.8% of cases being admitted in ICU. The in-hospital mortality rate was 23%.

Conclusion:

Our findings indicate that lesions with a bull’s eye appearance are not significantly associated with higher mortality in hospitalized COVID-19 patients

  • Article_DOI : 10.22088/cjim.13.0.270
  • writers : mohammad-mehdi mehrabi nejad
  • : پژوهش,original,کوید19
  • : 280453
مدیر سایت
:

مدیر سایت