عربی مرکز تحقیقات رادیولوژی نوین و تهاجمی | Immunohistochemical Subtypes of Hepatocellular Adenomas in Irani

عربی مرکز تحقیقات رادیولوژی نوین و تهاجمی | Immunohistochemical Subtypes of Hepatocellular Adenomas in Irani
TUMS Website | Dec 13 2025
logo

مركز أبحاث الأشعة التشخيصية والتداخلية المتقدمة

  • : 15/12/1446 - 08:54
  • : 108
  • : 1 دقيقة

Immunohistochemical Subtypes of Hepatocellular Adenomas in Iranian Patients: A Cross Sectional Study in a Single Center

Immunohistochemical Subtypes of Hepatocellular Adenomas in Irani {faces}

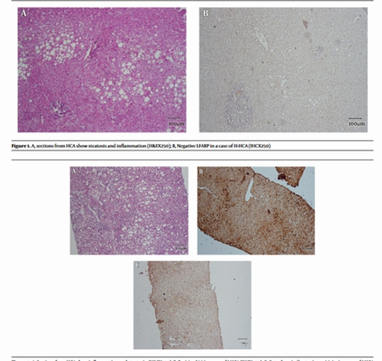
Objectives: Hepatocellular adenoma (HCA) is a tumor with heterogenous molecular pathogenesis and varying malignant poten- tial. Subclassification of HCAs is one of the important issues for the management decision to perform surgery or to follow up the patient. Iran is in intermediate status regarding the incidence of hepatocellular carcinoma, and on the other hand, incidence of viral precursors especially hepatitis B is decreasing, so it can be important to know the frequency of premalignant subtypes of liver cell adenomas in Iran. Methods: During the study period (10 years from 2008 to 2018) 40 cases of HCA (35 female and 5 males) were retrieved from the archives of the pathology departments of the affiliated hospitals of Shiraz University of Medical Sciences. The diagnosis was con- firmed and the best paraffin block was used for IHC staining for liver fatty acid binding protein (LFABP), glutamine synthetase (GS), β-catenin and serum amyloid A (SAA). Histologic findings were also recorded. In the mean time, clinical charts of the patients were reviewed and clinicopathologic findings were compared. Results: The most common subtype in our cases was hepatocyte nuclear factor-1α inactivated and the least common was β-catenin activated subtype. We didn’t find any cases of mixed subtype. Inflammatory subtype was seen in 10% of the cases. Another 10% of our cases were unclassified because all of the IHC markers were negative. Conclusions: Our results confirmed that immunohistochemistry should be routinely performed to subclassify HCAs. We also showed that frequencies of subtypes differ according to the studied population. For our population (Middle East or west Asia) HCAs with malignant potential are the least common

  • Article_DOI : 10.5812/hepatmon.91641
  • writers : bita geramizadeh
  • : پژوهش,original
  • : 300174
نفیسه السادات قوامی
:

نفیسه السادات قوامی

0

:

متن درون تصویر را در جعبه متن زیر وارد نمائید *