Advanced Diagnostic & Interventional Radiology Research Center | Diagnostic of ultrasound elastography for uterine cervical neopl

Advanced Diagnostic & Interventional Radiology Research Center | Diagnostic of ultrasound elastography for uterine cervical neopl
| Feb 23 2026
logo

Advanced Diagnostic & Interventional Radiology Research Center

scientific researches

  • Release Date : Feb 22 2026 - 09:40
  • : 1
  • Study time : 1 minute(s)

Diagnostic and clinical utility of ultrasound elastography for uterine cervical neoplasm

Diagnostic of ultrasound elastography for uterine cervical neoplasm {faces}

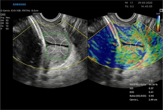
Purpose: Cervical cancer remains a major burden, especially in low-resource settings, due to limited screening. Traditional diagnostic tools, like colposcopy, are operator-dependent and often lack accuracy. Ultrasound elastography, including strain elastography (SE) and shear wave elastography (SWE), is a cost-effective, non-invasive tool for assessing tissue stiffness, aiding in distinguishing benign from malignant cervical lesions, and monitoring treatment. This review evaluates elastography's diagnostic accuracy and clinical utility in cervical cancer management.

Methods: This systematic review and meta-analysis was performed following PRISMA 2020 guidelines and was registered with PROSPERO (CRD42025639380). PubMed, Embase, Cochrane Library, Web of Science, and Scopus were searched up to January 2025 for studies utilizing elastography in cervical cancer. Study quality was assessed using the Newcastle-Ottawa Scale. Pooled sensitivity, specificity, and SROC curves were calculated using R software and Stata, with heterogeneity and publication bias evaluated.

Results: A total of twenty-three studies were included, with 19 in the meta-analysis. Elastography demonstrated high diagnostic accuracy for both detecting cervical cancer (sensitivity 88.3%, specificity 92%, AUC 0.965) and cervical intraepithelial neoplasia (CIN). SE trended to a non-significantly higher diagnostic accuracy than SWE (p = 0.51). Quantitative parameters differentiated cervical cancer from controls (SMD = 2.59, p < 0.001) and CIN (SMD = 1.75, p = 0.015). Elastography can effectively assess treatment response and tumor invasion.

Conclusion: Elastography aids cervical cancer diagnosis with high sensitivity and specificity, ideal for resource-limited settings due to its affordability and safety. Standardized training and guidelines are needed for consistent use. Future studies should compare SE and SWE, minimize variability, benchmark against MRI, and assess prognostic value

  • Article_DOI : 10.1007/s00261-025-05159-5
  • Author(s) : fahimeh zeinalkhani,fatemeh mahdavi sabet
  • News Group : research,research article
  • News Code : 316021
نفیسه سادات قوامی
Author:

نفیسه سادات قوامی

0 Comments for this article

comment

Post your comment:

متن درون تصویر را در جعبه متن زیر وارد نمائید *
Enter your desired term to search
Theme settings