Fetal intracranial hemorrhage and infarct: Main sonographic and MRI characteristics: A review article
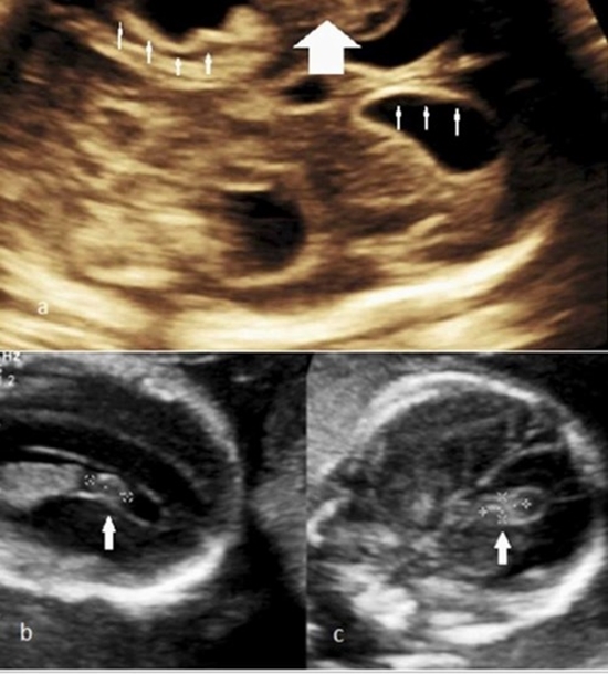
Early detection of fetal intracranial hemorrhage and infarct during pregnancy is crucial for preventing lethal and debilitating complications in neonatal life. Every radiologist must be aware of the imaging features of these conditions to refer patients to specialists. Sonographic and MRI features of fetal intracranial hemorrhage and infarct have been discussed in many previous articles. The aim of this article is to organize and categorize these findings into a practical guideline for improved application in diagnosing these diseases. The use of MRI sequences, such as DWI and multiplanar EPI should be developed for suspected prenatal infarct and intracranial hemorrhage and can serve as additional tools for early detection. In this review article, we first explain possible etiologic factors contributing to the development of fetal IVH and infarct. Then we discuss the different imaging features of these disorders on sonography and MRI separately, as well as their differential diagnosis. Finally, the mortality and morbidity associated with these two concerning fetal abnormalities will be addressed.

comment