MRI Prediction Model for Anatomical Site Identification in Uterine Carcinoma: Enhancing Diagnostic Accuracy and Treatment Planning
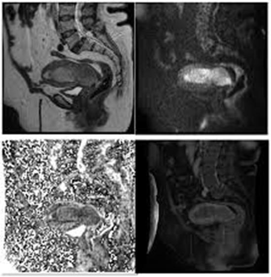
Introduction: The uterine carcinoma is the most commonly diagnosed malignancy in female pelvis. Accurate identification of tumor origin is crucial for determining appropriate treatment approaches. This study aims to develop a prediction model using multiple MRI parameters to accurately diagnose uterine cancer with an indistinctive origin and those involving both the endometrium and cervix prior to treatment. Material and methods: This prospective cohort study was conducted from January 2020 to January 2021, and included patients aged 20-80 who were newly diagnosed with uterine carcinoma who underwent MRI and were considered for hysterectomy within 6 months after MRI. Results: In our study, a total of 78 patients with uterine carcinoma were enrolled. the final diagnosis was confirmed as follows: 20 were adenocarcinoma of the cervix, 27 were SCC of the cervix, and 31 were endometrial adenocarcinoma. Certain imaging features were found to be consistent with cervical carcinoma, included parametrial invasion (69.6%), vaginal invasion (66%), stromal invasion (95.7%), and peripheral rim enhancement (68.9%). On post-contrast sequences, cervical cancer appeared hyperintense compared to the myometrium, while All rights reserved. No reuse allowed without permission. (which was not certified by peer review) is the author/funder, who has granted medRxiv a license to display the preprint in perpetuity. medRxiv preprint doi: https://doi.org/10.1101/2024.04.24.24305372; this version posted April 26, 2024. The copyright holder for this preprint NOTE: This preprint reports new research that has not been certified by peer review and should not be used to guide clinical practice. 2 endometrial cancer appeared hypointense (96.8%). Endometrial carcinoma was well diagnosed by the presence of an endometrial cavity mass (100%), deep myometrium invasion (>50%) (54.8%), and a greater size in the craniocaudal dimension compared to the transverse dimension (100%). Discussion: The study found that certain morphologic features were reliable indicators for detecting cervical carcinoma, including vaginal, stromal, and parametrial invasions, the presence of hypervascularity and peripheral rim enhancement. On the other hand, myometrial invasion and the presence of a mass in the endometrial cavity were significantly higher in endometrial carcinoma. Keywords: oncology, cervical cancer, uterine carcinoma, gynecology

comment