Advanced Diagnostic & Interventional Radiology Research Center | Stereotactic biopsy effective for breast microcalcifications

Advanced Diagnostic & Interventional Radiology Research Center | Stereotactic biopsy effective for breast microcalcifications
| Feb 12 2026
logo

Advanced Diagnostic & Interventional Radiology Research Center

Articles of Radiology Research Center 

  • Release Date : Aug 11 2024 - 06:59
  • : 158
  • Study time : Less than one minute

Successful Stereotactic Guided Vacuum Assisted Biopsy in the Evaluation of Breast Microcalcifications: A Study in a Single Tertiary Referral Center in the …

Stereotactic-Guided Vacuum Biopsy in Breast Microcalcifications {faces}

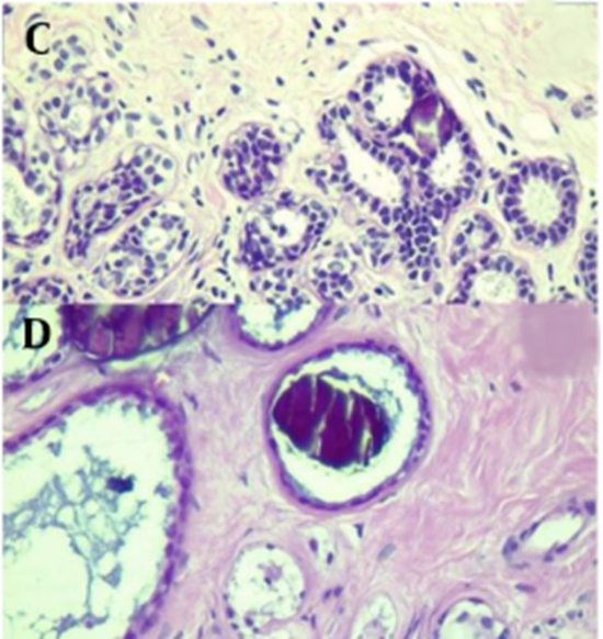
This study examined the outcomes of vacuum-assisted biopsy (VAB) for assessing breast microcalcifications. Conducted on 257 patients, most were classified under BI-RADS 4B (80.2%) and 4C (17.1%). More than half (57.6%) had microcalcifications distributed in multiple groups, with the most common morphology being punctate amorphous (42.4%).

Pathological results showed that 70% of patients had benign findings, while 26.8% had malignant features. The distribution of malignancies varied across BI-RADS categories: in the 4B category, 32 cases were malignant, and 166 were benign, whereas in the 4C category, 34 cases were malignant, and 10 were benign (P < 0.001).

Conclusion: This study demonstrated that VAB is an effective method for evaluating breast microcalcifications and can serve as a promising diagnostic tool for suspected cases.

  • Article_DOI : Stereotactic biopsy effective for breast microcalcifications
  • Author(s) : nahid sadighi,nasrin ahmadinejad
  • News Group : research,research article
  • News Code : 293825
مدیر سایت
Author:

مدیر سایت

0 Comments for this article

comment

Post your comment:

متن درون تصویر را در جعبه متن زیر وارد نمائید *
Enter your desired term to search
Theme settings