Advanced Diagnostic & Interventional Radiology Research Center | Investigating the relationship between chest CT scan involvement score with vital signs and laboratory findings at the time of referral and the need for hospitalization

Advanced Diagnostic & Interventional Radiology Research Center | Investigating the relationship between chest CT scan involvement score with vital signs and laboratory findings at the time of referral and the need for hospitalization
| Dec 10 2025
logo

Advanced Diagnostic & Interventional Radiology Research Center

scientific researches

  • تاریخ انتشار : Sep 15 2024 - 09:26
  • تعداد بازدید کنندگان خبر : 72
  • زمان مطالعه : Less than one minute

Investigating the relationship between chest CT scan involvement score with vital signs and laboratory findings at the time of referral and the need for hospitalization

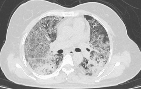
According to the proposed model, patients with age over 53 years and oxygen saturation less than 91% and pulmonary index greater than 8 are at a higher risk for unfavorable outcome of hospitalization and this model can predict patients' need for higher level care in the near future. During hospitalization, it should be based on clinical-radiological data at the time of initial consultation
 
 
  • کد خبر : 277501
کلمات کلیدی
نفیسه سادات قوامی
Author:

نفیسه سادات قوامی

0 Comments for this article

comment

Post your comment:

متن درون تصویر را در جعبه متن زیر وارد نمائید *
Enter your desired term to search
Theme settings