Advanced Diagnostic & Interventional Radiology Research Center | Diffusion-Weighted Imaging and Histopathologic Findings of Menin

Advanced Diagnostic & Interventional Radiology Research Center | Diffusion-Weighted Imaging and Histopathologic Findings of Menin
| May 19 2026
logo

Advanced Diagnostic & Interventional Radiology Research Center

scientific researches

  • Release Date : Feb 24 2026 - 12:59
  • : 31
  • Study time : 1 minute(s)

Is There Any Correlation Between Diffusion-Weighted Imaging and Histopathologic Findings of Meningioma? A Retrospective Study

Diffusion-Weighted Imaging and Histopathologic Findings of Meningioma {faces}

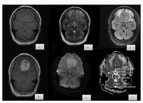
Background and aims: Meningiomas are common CNS tumors, with grading critical for treatment. This study aimed to determine if diffusion-weighted imaging (DWI) correlates with histopathologic findings in meningioma, focusing on tumor grade, subtype, and Ki-67 index.

Methods: This retrospective study included 68 patients with meningioma who underwent preoperative MRI with DWI. Tumor grade was determined using the WHO classification. DWI intensity was categorized as hyperintense, isointense, or hypointense relative to normal brain tissue. ADC values were measured, and diffusion restriction was defined as high signal intensity on DWI with low signal intensity on the ADC map. Histopathologic analysis assessed the Ki-67 proliferation index. Statistical analysis used ANOVA, Chi-square, univariable linear regression (β), and odds ratios (OR) via SPSS 17.0, with p < 0.05 as significant.

Results: The study included 68 patients with a mean age of 52.1 ± 15.6 years, mostly females (67.65%). Most tumors were grade 1 (73.5%) with male patients having higher tumor grades than females. Meningothelial was the most common subtype. DWI intensity correlated with tumor grade, with higher grades more likely to be hypointense. ADC values varied with tumor grades, being significantly higher in grade 1 tumors. Diffusion restriction was more common in higher-grade tumors. Ki-67 was higher in males (p = 0.01) and inversely linked to ADC (p < 0.001).

Conclusion: Both qualitative DWI features and quantitative ADC values reflect meningioma grade and proliferative activity, with notable sex and subtype differences, underscoring the clinical utility of preoperative DWI

  • Article_DOI : 10.1002/hsr2.71025
  • Author(s) : fahimeh zeinalkhani,mahrokh sadat vaziri
  • News Group : research,research article
  • News Code : 316325
نفیسه سادات قوامی
Author:

نفیسه سادات قوامی

0 Comments for this article

comment

Post your comment:

متن درون تصویر را در جعبه متن زیر وارد نمائید *
Enter your desired term to search
Theme settings