Advanced Diagnostic & Interventional Radiology Research Center | Sigmoid volvulus in a postmenopausal woman with ovarian cyst tor

Advanced Diagnostic & Interventional Radiology Research Center | Sigmoid volvulus in a postmenopausal woman with ovarian cyst tor
| Feb 25 2026
logo

Advanced Diagnostic & Interventional Radiology Research Center

scientific researches

  • Release Date : Feb 24 2026 - 13:03
  • : 5
  • Study time : 1 minute(s)

Sigmoid volvulus in a postmenopausal woman with ovarian cyst torsion: A rare case report with review of literature

Sigmoid volvulus in a postmenopausal woman with ovarian cyst torsion {faces}

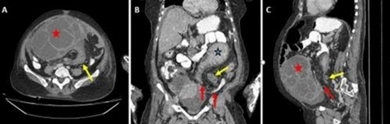
Background: Large bowel obstruction in adults may result from either mechanical or non-mechanical causes, with sigmoid volvulus (SV) being one of the most common mechanical etiologies. Concurrent SV and ovarian cyst torsion (OCT) is an extremely rare occurrence, particularly in postmenopausal women.

Case description: We present the case of a 50-year-old postmenopausal woman who initially presented with symptoms of colonic obstruction. Further evaluation revealed SV in conjunction with a large ovarian mass with torsion. The patient underwent unilateral salpingo-oophorectomy, subtotal colectomy, and end colostomy. Postoperative histopathological analysis confirmed a benign ovarian lesion.

Clinical discussion: SV is associated with high morbidity and mortality but may be managed conservatively with endoscopic detorsion in the absence of hemodynamic instability or signs of colonic ischemia or perforation. However, when an unresolvable mechanical trigger such as a large ovarian mass is present, surgical intervention remains the mainstay of treatment. To the best of our knowledge, this is the first reported case of obstructing SV occurring concurrently with OCT in a postmenopausal woman.

Conclusion: OCT should always be considered in the differential diagnosis for female patients of any age presenting with clinical features suggestive of small or large bowel volvulus

  • Article_DOI : 10.1016/j.ijscr.2025.111489
  • Author(s) : narges zamani,sara ramhormozian
  • News Group : research,research article
  • News Code : 316330
نفیسه سادات قوامی
Author:

نفیسه سادات قوامی

0 Comments for this article

comment

Post your comment:

متن درون تصویر را در جعبه متن زیر وارد نمائید *
Enter your desired term to search
Theme settings