Comparison of kinematics of ACL-deficient and healthy knees during passive flexion and isometric leg press
The simultaneous contraction of the quadriceps and hamstrings during leg press, although reduces the knee laxity, cannot compensate for the loss of the ACL to restore the normal kinematics of the joint, at least during early flexion
Emotional intelligence of medical residents of Tehran University of Medical Sciences
The goal of this study was to determine emotional intelligence of medical residents of Tehran University of Medical Sciences
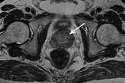
MRI in prostate cancer(Review)
Imaging studies play an important role in detection and management of prostate cancer and MRI especially with the use of endorectal coil because of high contrast resolution is recognized as the best imaging modality in evaluation of prostate cancer
Antidepressant effects of magnetic resonance imaging-based stimulation on major depressive disorder: A double-blind randomized clinical trial
this study demonstrated the antidepressant effects of DWI and T1 MRI protocols. Our results may point to usefulness of MR stimulation for clinical use in patients with major depressive disorder
Diagnostic accuracy of non-echo-planar diffusion-weighted MRI versus other MRI sequences in cholesteatoma
The non-EPI MRI technique is a more accurate method in detecting middle ear cholesteatoma in comparison to other conventional sequences
Diagnostic Accuracy of Ultrasound in Determining the Cause of Bilious Vomiting in Neonates
This study suggested that in cases in which US makes a certain diagnosis, its accuracy eliminates the need for further diagnostic tests, but if it is inconclusive, further radiological contrast studies should be tried to make the final diagnosis.
Diagnostic performance of multislice CT coronary angiography in the assessment of significant coronary artery disease
The aim of the present study was to determine the ability of MSCT-CA-CA for the detection of significant stenoses in the coronary arteries, in comparison to conventional invasive coronary angiography (ICA)
Diagnostic Value of Pelvic MRI for Assessment of the Depth of Myometrial Invasion and Cervical Involvement in Endometrial Cancer: Comparison of New Versus Old FIGO Staging
Using 2009 FIGO classification increases the accuracy of pelvic MR imaging for preoperative staging of patients with early stages of endometrial cancer
Diffusion-weighted magnetic resonance imaging for diagnosis of liver fibrosis and inflammation in chronic viral hepatitis: the performance of low or high B values and small or large regions of interest
This study provided beneficial data for clinical utilisation of DW-MRI in diagnosing liver fibrosis: b = 500 s/mm2 is better in performance than b = 1000 s/mm2, and a small ROI of 100 mm2 is sufficient for determining cirrhosis or bridging fibrosis
Efficacy of Transarterial Chemoembolization on Lesion Reduction in Colorectal Liver Metastases
The aim of present study was to evaluate the efficacy of chemoembolization for inoperable metastatic liver lesions from CRC
