Imaging Findings in Symptomatic Appendiceal Endometriosis: A Systematic Review of Case Reports
:
Imaging is crucial in evaluating women with suspected appendiceal endometriosis (AE), as the condition often mimics acute or chronic appendicitis and presents a diagnostic challenge. While modalities like ultrasound (US), computed tomography (CT), and magnetic resonance imaging (MRI) can help identify abnormalities, their findings are frequently nonspecific. Therefore, awareness of imaging features is essential for accurate diagnosis and management, though definitive confirmation still relies on histopathological examination after surgical excision. Objectives:
The present study aimed to review and investigate imaging findings in symptomatic AE. Methods:
This systematic review was performed according to the preferred reporting items for systematic reviews and meta-analyses (PRISMA) guidelines. PubMed, Scopus, Web of Science, CINAHL Plus, and the Cochrane Library were searched using keywords including appendix, endometriosis, MRI, transvaginal sonography (TVS), and transrectal high intensity focused US. Studies were included if they reported imaging findings in symptomatic AE. Exclusion criteria were randomized controlled trials, controlled case studies, review articles, cohort studies, systematic reviews, conference abstracts, articles without full text, and non-English language articles. Study selection and data extraction were performed independently by two reviewers. The quality of included case reports was independently assessed using the Joanna Briggs Institute (JBI) critical appraisal checklist for case reports. Results:
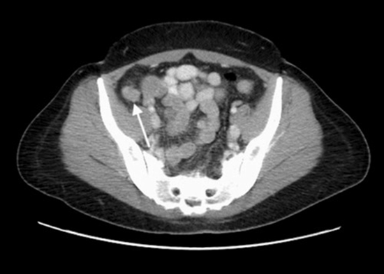
Twenty-six out of the total number of patients who underwent CT (30) had positive findings (86.6%), while 7 out of the total number of patients who underwent MRI (11) and 11 out of the total number of patients who underwent sonography (13) also had positive findings (63.6% and 84.6%, respectively). The mean age of the patients was 37.2 ± 7.07 years. Out of the total sample, 8 patients were pregnant. The overall imaging findings were: Normal (6 cases, 15%), wall thickening (9 cases, 22.5%), mass (15 cases, 37.5%), cystic mass (1 case, 2.5%), solid lesion in the left ovary (1 case, 2.5%), mucocele (3 cases, 7.5%), intussusception (4 cases, 10%), obstruction (5 cases, 12.5%), suspected obstruction (1 case, 2.5%), appendicitis (4 cases, 10%), fluid (11 cases, 27.5%), and abscess (3 cases, 7.5%). Conclusion:
Right lower quadrant (RLQ) mass and bowel wall thickening are the most commonly reported findings in patients with AE. Further studies are required to retrospectively evaluate the imaging findings of the appendix in pathologically confirmed AE after pelvic surgery

comment