فعالیتهای مرکز تحقیقات رادیولوژی در دوران همه گیری کرونا
همهگیری کووید-۱۹ و نقش مرکز تحقیقات رادیولوژی
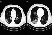
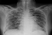
در طول همهگیری کووید-۱۹، مرکز تحقیقات رادیولوژی دانشگاه علوم پزشکی تهران، علیرغم چالشهای ناشی از افزایش تقاضا برای سیتی اسکن بیماران کووید-۱۹ و لزوم رعایت پروتکلهای بهداشتی سختگیرانه، به فعالیتهای تحقیقاتی خود ادامه داد. این مرکز نقشی حیاتی در بهبود تکنیکهای تصویربرداری پزشکی، بهینهسازی پروتکلهای تشخیصی و توسعه فناوریهای مرتبط با تجزیه و تحلیل تصاویر سیتی اسکن ایفا کرد.
اعضای هیئت علمی، محققان و کارکنان ضمن تضمین ایمنی و رفاه متخصصان مراقبتهای بهداشتی و بیماران، فعالانه در تجزیه و تحلیل دادههای تصویربرداری، توسعه الگوریتمهای هوش مصنوعی برای تشخیص سریعتر بیماری، انتشار مقالات علمی و ارائه یافتههای خود در کنفرانسهای بینالمللی شرکت داشتند. این تلاشها با هدف افزایش دقت تشخیصی ، بهبود فرآیندهای درمان و کاهش فشار بر سیستمهای مراقبتهای بهداشتی انجام شد.

دستاوردهای کلیدی مرکز تحقیقات رادیولوژی در طول همهگیری کووید-۱۹
- توسعه و بهینهسازی پروتکلهای تصویربرداری ریه: برای تشخیص سریعتر و دقیقتر کووید-۱۹
- پیادهسازی فناوریهای هوش مصنوعی: برای تجزیه و تحلیل خودکار سیتی اسکن و کاهش زمان تشخیص
- انتشار مقالات تحقیقاتی با تأثیر بالا: در مورد روشهای تصویربرداری نوآورانه برای بیماران کووید-۱۹
- مشارکت در پروژههای ملی و بینالمللی: متمرکز بر تشخیص کووید-۱۹ و مدیریت بیماران
این مرکز همچنان به پیشبرد تحقیقات در زمینه تصویربرداری پزشکی اختصاص دارد و به عنوان یک مؤسسه علمی پیشرو در بهبود کیفیت خدمات تشخیصی و درمانی به مشارکت خود ادامه میدهد.
مقالات مرکز تحقیقات رادیولوژی در زمینه covid-19 عبارتند از: