Introducing rebaudioside A as a novel enzyme stabilizer: comparison with lysine on Aspergillus oryzae alpha-amylase inactivation and amorphous aggregation
BACKGROUND The role of amino acids and glycosidic compounds was investigated as edible and potential compatible stabilizing additives against Aspergillus oryzae alpha-amylase (AOA) inactivation and amorphous aggregation.
Metabolic fingerprinting of human plasma in dementia A pilot study of metabolome decomposition
Metabolic fingerprinting of human plasma in dementia A pilot study of metabolome decomposition
Background: As the number of people with dementia grows, it becomes even more important to improve how it is diagnosed and treated. Metabolomics, the study of small molecule metabolites in biological systems, helps us learn a lot about dementia by revealing changes in the brain's systems through blood plasma research.
درمان آریتمی دهلیزی با کرایوبالون: گزارشی از پدیده نادر کلاهک یخی رنگی در فرایند ایزولهسازی وریدهای ریوی
پژوهشگران در یک مورد بالینی نادر، تشکیل و ماندگاری کلاهک یخی رنگی بر روی بادکنک کرایوبالون را گزارش کردند که پس از آزاد شدن بادکنک ممکن است وارد جریان خون شود. این پدیده گرچه نادر است، اثری منفی روی بیمار نداشت و نیاز به شناخت بیشتر برای جلوگیری از عوارض احتمالی دارد. مطالعه نشان میدهد که با تنظیمات دقیق دستگاه، این عارضه به حداقل میرسد و درمان با ایمنی بالایی قابل انجام است.
تاثیر اختلال دیاستولیک بطن راست بر پیشآگهی بیماران تحت عمل بایپس عروق کرونری
یافتهها حاکی از عدم ارتباط معنادار RVDD با افزایش مدت بستری در بیمارستان، ICU، زمان لولهگذاری تنفسی یا عوارض پس از عمل مانند آریتمی و نارسایی کلیه است، هرچند عوارض در گروه RVDD کمی بیشتر بود (۹۰% مقابل ۸۵%). این اختلال ممکن است عوارض را اندکی افزایش دهد، اما پیشبینیکننده قوی نیست؛ بررسی اکوکاردیوگرافی پیش از عمل برای کنترل بهتر ریسک توصیه میشود و نیاز به مطالعات بزرگتر وجود دارد.
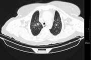
گزارش یک مورد نادر از تجمع مایع اطراف قلب ناشی از COVID-19 با تشخیص اشتباه به عنوان لخته خون در ورید گردن
تورم گردن و تنگی نفس در بیمارهای ویروسی ممکن است ناشی از بیماریهای کمتر شناختهشدهای مثل تجمع مایع اطراف قلب (افیوژن پریکاردی) باشد که با بیماریهای رایجتر مثل لخته خون ورید گردن اشتباه گرفته میشود. درمان نادرست میتواند بسیار خطرناک باشد. پزشکان باید قبل از شروع درمان رقیقکننده خون، با استفاده از روشهای دقیق تشخیصی مانند تصویربرداریهای قلبی و ریه، تشخیص را تایید کنند تا از عوارض جدی جلوگیری شود.
اثربخشی و ایمنی داروهای خوراکی جدید در درمان لخته خون بطن چپ پس از حمله قلبی
داروهای جدید خوراکی ضدانعقاد خون (DOACs) به اندازه وارفارین در درمان لخته خون بطن چپ پس از حمله قلبی موثر و ایمن هستند و استفاده از آنها میتواند راحتتر و کم عارضهتر باشد.
Wearable microfluidic immunosensors for point-of-care detection of bio-analytes: a critical review
Early and timely disease diagnosis is crucial for effective treatment and improved clinical outcomes. Antibodies and their fragments are among the most widely used affinity reagents in point-of-care (POC) assays because of their target specificity and affinity.
Low Bone Mineral Density and Associated Factors Among People Living With HIV in Kerman Iran A Cross Sectional Study in 2021 2022
Chronic diseases such as osteoporosis and low bone mineral density (BMD) are significant public health concerns for people living with HIV (PLWH), especially with the increased life expectancy because of antiretroviral therapy (ART).
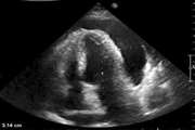
تجمع شدید مایع اطراف قلب به دلیل بیماری کبدی
یک مرد ۶۰ ساله ایرانی با سابقه هپاتیت خودایمنی و سیروز کبد، ناگهان با تنگی نفس شدید و درد سینه به اورژانس آمد – پزشکان متوجه شدند بیش از یک لیتر مایع اطراف قلبش جمع شده و قلب را تحت فشار مرگبار قرار داده است.
