بهگزینی پیشرفت در بیماریهای غیرواگیر: تحلیلی جهانی از مرگومیر به علل خاص از سال 2001 تا 2019
مقاله "بهگزینی پیشرفت در بیماریهای غیرواگیر: تحلیلی جهانی از مرگومیر به علل خاص از سال 2001 تا 2019"، با مشارکت دکتر امیرحسین تکیان در مجله لنست منتشر شد.
Global Dilemma and Needs Assessment Toward Achieving Sustainable Development Goals in Controlling Leishmaniasis
The global fight against leishmaniasis, a disease affecting over a billion people, is hindered by a lack of effective drugs, vaccines, and comprehensive control strategies. A new review highlights key challenges, including socioeconomic factors and the disease's complex life cycle, and calls for a more coordinated effort and increased funding to accelerate progress towards its elimination.
Efficacy and Tolerability of a Hyaluronic Acid-Based Extracellular Matrix for Labia Majora Rejuvenation and Augmentation: A Pilot Study
A new study has found that an injectable solution containing hyaluronic acid and amino acids can effectively rejuvenate and augment the labia majora. The pilot study showed significant improvement in skin firmness and elasticity, with all patients reporting aesthetic improvements and high satisfaction after the treatment.
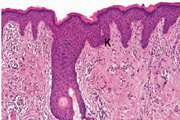
Efficacy and Safety of Phoenix dactylifera L. Leaf Extract (WartOver®) in the Treatment of Cutaneous Warts: A Randomized, Double-Blind, Placebo-Controlled Trial
A new study shows that a topical treatment made from date palm leaf extract, called WartOver®, is highly effective in treating cutaneous warts. In a randomized, double-blind, and placebo-controlled trial, the herbal treatment led to complete wart clearance in nearly 70% of patients with no reported adverse effects or recurrence.
روندها و تغییرپذیری دامنه دمای شبانهروزی در استان خوزستان (۱۹۹۰–۲۰۲۲)
روندها و تغییرپذیری دامنه دمای شبانهروزی در استان خوزستان (۱۹۹۰–۲۰۲۲)
این مقاله با عنوان " روندها و تغییرپذیری دامنه دمای شبانهروزی در استان خوزستان (۱۹۹۰–۲۰۲۲)" در سال 2025 در مجله Health in Emergencies and Disasters Quarterly به زبان انگلیسی توسط معصومه قرائی، حسین زراعتی، عباس صادقی، سمیرا کریمی و مصطفی به چاپ رسیده است. خلاصه ای از فارسی مقاله به صورت زیر است:
