مرکز تحقیقات رادیولوژی نوین و تهاجمی | Tonsilolith in Routine Panoramic Radiographies

مرکز تحقیقات رادیولوژی نوین و تهاجمی | Tonsilolith in Routine Panoramic Radiographies
سایت دانشگاه | 25 اردیبهشت 1405
logo

مرکز تحقیقات رادیولوژی نوین و تهاجمی

دانشگاه علوم پزشکی تهران

  • تاریخ انتشار : 1402/09/29 - 13:42
  • : 88
  • زمان مطالعه : کمتر از یک دقیقه

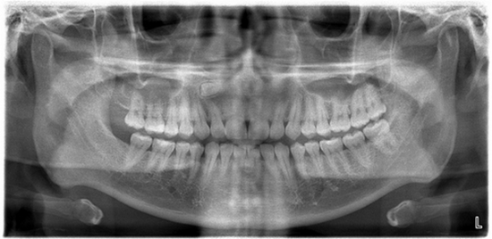
Tonsilolith in Routine Panoramic Radiographies Is It a Common Incidental Finding?

The present study demonstrated that tonsiloliths may be accidentally detected through panoramic radiographs in nearly 5% of cases. There is no gender-based predisposition, and tonsiloliths are more common in the 41 to 60-year-old group.

 Panoramic Radiographies {faces}

Tonsiloliths should be the first differential diagnosis when multiple opaque lesions with ill-defined borders superimposed on the palatal uvula and the ramus are detected on a panoramic radiography in a middle-aged patient. A correct diagnosis will eliminate the need for further evaluations including radiography and clinical examinations.

  • Article_DOI : 10.5812/iranjradiol.7563
  • نویسندگان : mohammad mehdi aghdasi,solmaz valizadeh,niloofar amin-tavakoli,hooman bakhshandeh
  • گروه خبر : پژوهش,case report
  • کد خبر : 254565
کلمات کلیدی
مدیر سایت
تهیه کننده:

مدیر سایت

متن مورد نظر خود را جستجو کنید
تنظیمات پس زمینه