طرح های در حال اجرا تاریخ انتشار : 1404/01/18 - 10:19 تعداد بازدید کنندگان خبر : 74 زمان مطالعه : کمتر از یک دقیقه بررسی حساسیت ، اختصاصیت و دقت تشخیصی بافت سنجی کبد در ام آر آی با نرم افزار TextRAD جهت افتراق آدنوم هپاتوسلولار از هایپرپلازی ندولار کانونی کد خبر : 293323 کپی کلمات کلیدی _بافت_سنجی_کبدآدنوم_هپاتوسلولارهایپرپلازی_ندولار تهیه کننده: مدیر سیستم لیست اخبار 0 نظر برای این مطلب وجود دارد ارسال نظر نظر خود را وارد نمایید: * ارسال ارسال به دوستان متن داخل تصویر را وارد کنید *
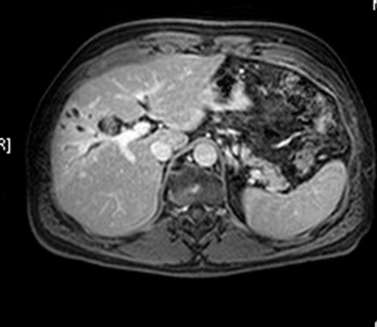
بررسی حساسیت ، اختصاصیت و دقت تشخیصی بافت سنجی کبد در ام آر آی با نرم افزار TextRAD جهت افتراق آدنوم هپاتوسلولار از هایپرپلازی ندولار کانونی کد خبر : 293323 کپی کلمات کلیدی _بافت_سنجی_کبدآدنوم_هپاتوسلولارهایپرپلازی_ندولار
ارسال نظر