مرکز تحقیقات رادیولوژی نوین و تهاجمی | Comparison of Phase Sensitive Inversion Recovery and Conventional Magnetic Resonance Imaging for Detection of Cortical Plaques in MS Patients

مرکز تحقیقات رادیولوژی نوین و تهاجمی | Comparison of Phase Sensitive Inversion Recovery and Conventional Magnetic Resonance Imaging for Detection of Cortical Plaques in MS Patients
سایت دانشگاه | 18 بهمن 1404
logo

مرکز تحقیقات رادیولوژی نوین و تهاجمی

دانشگاه علوم پزشکی تهران

  • تاریخ انتشار : 1403/04/23 - 08:15
  • : 113
  • زمان مطالعه : 1 دقیقه

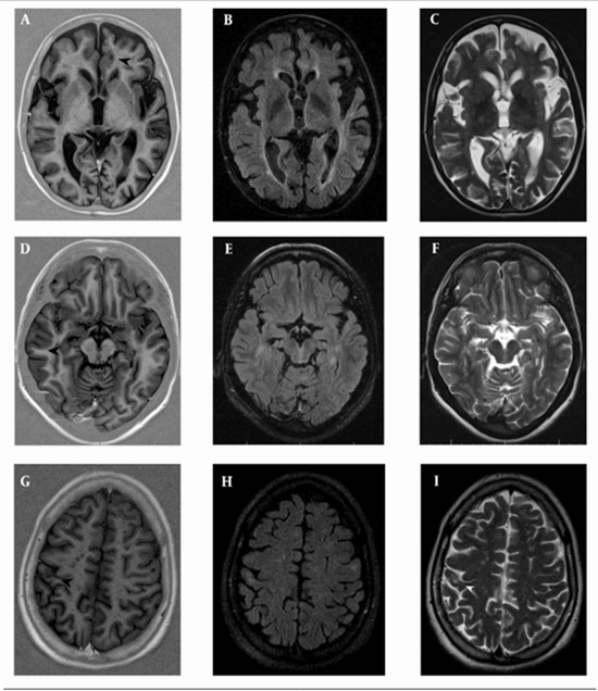
Comparison of Phase Sensitive Inversion Recovery and Conventional Magnetic Resonance Imaging for Detection of Cortical Plaques in MS Patients

Phase Sensitive Inversion Recovery and Conventional Magnetic Resonance Imaging for Detection of Cortical Plaques in MS Patients {faces}

Introduction and importance

Aggressive angiomyxoma is characterized as a non-capsulated soft mass with the ability to progress to surrounding tissues but without metastasis to distant tissues. Slowing tumor extension leading delayed tumor diagnosis, expression of different types of hormonal receptors, therapeutic ineffectiveness of noninvasive treatment approaches and misdiagnosis have remained as the major challenges for managing this tumor.

Case presentation

Herein, we described a case of aggressive angiomyxoma located in the posterior of the uterus and vagina that as successfully managed surgically to remove tumor mass followed by gonadotropin-releasing hormone (GnRH) agonist to prevent tumor recurrence.

Clinical discussion

Surgical resection is the treatment of choice in aggressive angiomyxoma with complete success rate, however despite such successfulness, about two-thirds of patients experienced postoperative recurrence rate that could be prevented by hormone-based therapy especially GnRH agonist.

Conclusion

Aggressive angiomyxoma is a rare tumor with locally invasive behavior. As misdiagnosis is common imaging like MRI with DWI should be considered. The best treatment is surgical resection by experienced surgeons in tertiary referral hospitals. Even with complete resection, the recurrence rate is high. So adjuvant medical treatment seems to be necessary

  • Article_DOI : 10.1016/j.ijscr.2021.105756
  • نویسندگان : mahrooz malek,setareh akhavan,somayeh nikfar,behnam behboudi,hana saffar, narges zamani
  • گروه خبر : پژوهش,مقالات,research article
  • کد خبر : 271102
کلمات کلیدی
مدیر سایت
تهیه کننده:

مدیر سایت

متن مورد نظر خود را جستجو کنید
تنظیمات پس زمینه