مرکز تحقیقات رادیولوژی نوین و تهاجمی | Preoperative Local Staging of Endometrial Cancer

مرکز تحقیقات رادیولوژی نوین و تهاجمی | Preoperative Local Staging of Endometrial Cancer
سایت دانشگاه | 20 بهمن 1404
logo

مرکز تحقیقات رادیولوژی نوین و تهاجمی

دانشگاه علوم پزشکی تهران

  • تاریخ انتشار : 1403/01/20 - 12:12
  • : 47
  • زمان مطالعه : 1 دقیقه

Accuracy of Imaging in Preoperative Local Staging of Endometrial Cancer: Could Imaging Predict Low Risk Patients?

 Preoperative Local Staging of Endometrial Cancer {faces}
Objectives

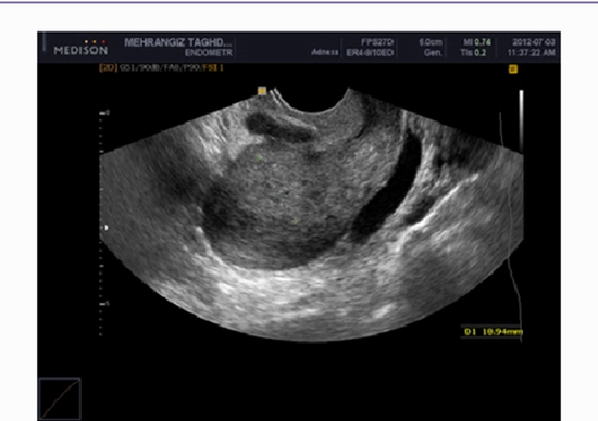
In this study we aimed to evaluate diagnostic accuracy of magnetic resonance imaging (MRI) and transvaginal sonography (TVS) in identifying the depth of myometrial invasion and cervical involvement and also their relationship with the uterine arteries resistance index (RI) and pulsatility index (PI) in endometrial carcinoma.

Materials And Methods

We performed a prospective study on 45 women with histologically confirmed diagnosis of endometrial carcinoma. The study was performed from October 2009 to December 2012. All the patients were evaluated by 3T MRI and TVS and transvaginal color Doppler sonography of uterine arteries. All the patients underwent hysterectomy and the result of imaging and pathologic studies were compared.

Results

Mean age was 54.5 ± 10.8 years (33 to 77 years), mean gravid was 3.93 ± 2.8 and the mean parity was 3.9 ± 2.5. The pathology results indicated 29 patients (64.4%) in stage IA and 16 patients (35.6%) in stage IB. Mean endometrial thickness in stage IA patients was 18.4±14.4 mm and in stage IB patients was 38.5±11.5 mm. TVS also showed positive predictive value (PPV) of 76.5%, negative predictive value (NPV) of 88.9%, sensitivity of 81.3%, specificity of 85.7%, and accuracy of 84.1% for assessment of the depth of myometrial invasion in endometrial carcinoma. We found PPV of 86.7%, NPV of 92.3%, sensitivity of 86.7%, specificity of 92.3%, and accuracy of 90.2% for MRI study.

Conclusions

TVS can evaluate the depth of myometrial invasion with an acceptable accuracy when MRI is not available or cost-effective, or when MRI is contraindicated. Both preoperative MRI and TVS can predict low risk patients (less than 50% of myometrial invasion) accurately; thereby avoiding lymphadenectomy in these patients

  • Article_DOI :
  • نویسندگان : maryam rahmani, majid shakiba,nasrin ahmadinejad,samira heydari ,azamsadat mousavi,shilan azhdeh
  • گروه خبر : پژوهش,مقالات,research article
  • کد خبر : 263051
کلمات کلیدی
مدیر سایت
تهیه کننده:

مدیر سایت

متن مورد نظر خود را جستجو کنید
تنظیمات پس زمینه