مرکز تحقیقات رادیولوژی نوین و تهاجمی | Diagnostic performance of different imaging modalities for splen

مرکز تحقیقات رادیولوژی نوین و تهاجمی | Diagnostic performance of different imaging modalities for splen
سایت دانشگاه | 16 اردیبهشت 1405
logo

مرکز تحقیقات رادیولوژی نوین و تهاجمی

دانشگاه علوم پزشکی تهران

  • تاریخ انتشار : 1403/12/27 - 09:46
  • : 126
  • زمان مطالعه : 1 دقیقه

Diagnostic performance of different imaging modalities for splenic malignancies: A comparative meta analysis

Diagnostic performance of different imaging modalities for splenic malignancies {faces}

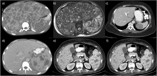
Background and objectives: The spleen hosts both benign and malignant lesions. Despite multiple imaging modalities, the distinction between these lesions poses a diagnostic challenge, marked by varying diagnostic accuracy levels across methods. In this study, we aimed to evaluate and compare the diagnostic performance of various imaging techniques for detecting malignant splenic lesions.

Methods: Following PRISMA guidelines, we searched PubMed, Scopus, and Web of Sciences databases for studies evaluating imaging techniques in detecting malignant splenic lesions. Data extraction included diagnostic accuracy metrics, and methodological quality was assessed using QUADAS-2. Diagnostic Test Accuracy meta-analyses were conducted using R (version: 4.2.1). Subgroup analyses and meta-regression were performed to compare different modalities and clinical settings.

Results: Our study included 28 studies (pooled sample size: 2358), primarily using retrospective designs with histopathology as the reference standard. PET scan demonstrated the highest diagnostic accuracy (AUC: 92 %), demonstrating a sensitivity of 93 % (95 % CI: 80.4 % - 97.7 %) and a specificity of 82.8 % (95 % CI: 71.1 % - 90.4 %). Contrast-enhanced ultrasound (CEUS), Contrast-enhanced CT scan, and contrast-enhanced MRI also showed impressive performance with AUCs of 91.4 %, 90.9 %, and 85.3 %, respectively. Differences among these modalities were not statistically significant, but they outperformed non-contrast-enhanced methods. PET and CEUS exhibited higher specificity for lymphoma cases compared to studies including other malignancies.

Conclusion and clinical implications: Overall, PET emerges as the best modality for splenic malignancies, and CEUS and CE-MRI show promise as potential alternatives, notably due to their reduced radiation exposure. Further research is essential for precise malignancy differentiation.

  • Article_DOI : 10.1016/j.ejro.2024.100566
  • نویسندگان : parya valizadeh, faeze salahshour
  • گروه خبر : پژوهش,research article
  • کد خبر : 292747
کلمات کلیدی
مدیر سایت
تهیه کننده:

مدیر سایت

0 نظر برای این مطلب وجود دارد

ارسال نظر

نظر خود را وارد نمایید:

متن درون تصویر را در جعبه متن زیر وارد نمائید *
متن مورد نظر خود را جستجو کنید
تنظیمات پس زمینه