مرکز تحقیقات رادیولوژی نوین و تهاجمی | Primary Actinomyces in Hand

مرکز تحقیقات رادیولوژی نوین و تهاجمی | Primary Actinomyces in Hand
سایت دانشگاه | 29 اردیبهشت 1405
logo

مرکز تحقیقات رادیولوژی نوین و تهاجمی

دانشگاه علوم پزشکی تهران

  • تاریخ انتشار : 1404/04/24 - 07:55
  • : 186
  • زمان مطالعه : کمتر از یک دقیقه

Primary Actinomyces in Hand: An Unusual Cause of Osteomyelitis

Primary Actinomyces in Hand {faces}

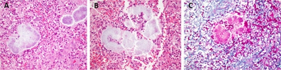
Actinomycosis is a rare, chronic, and slow-progressing bacterial infection caused by Actinomyces species. The condition's rarity, nonspecific clinical symptoms, and occasional occurrence in atypical locations often lead to delays in diagnosis, which are critical for initiating timely treatment and preventing further complications. We report the case of an 82-year-old man who initially developed pustules on the dorsum of his left hand, which gradually progressed over 15 years into an exophytic mass. Histopathological examination and culture confirmed Actinomycosis, and imaging studies revealed osteomyelitis affecting the carpal and metacarpal bones of the involved hand. Although the delayed diagnosis and treatment resulted in severe osteomyelitis, the patient responded favorably to a combination therapy of Amoxicillin and Trimethoprim-Sulfamethoxazole.

  • Article_DOI : 10.1002/ccr3.70298
  • نویسندگان : saman al-zahawi,zahra saffarian
  • گروه خبر : پژوهش,research article
  • کد خبر : 300938
کلمات کلیدی
نفیسه السادات قوامی
تهیه کننده:

نفیسه السادات قوامی

0 نظر برای این مطلب وجود دارد

ارسال نظر

نظر خود را وارد نمایید:

متن درون تصویر را در جعبه متن زیر وارد نمائید *
متن مورد نظر خود را جستجو کنید
تنظیمات پس زمینه