Comparing Texture Analysis of Apparent Diffusion Coefficient MRI in Hepatocellular Adenoma and Hepatocellular Carcinoma
Aim: This study aimed to assess the effectiveness of using MRI-apparent diffusion coefficient (ADC) map-driven radiomics to differentiate between hepatocellular adenoma (HCA) and hepatocellular carcinoma (HCC) features.
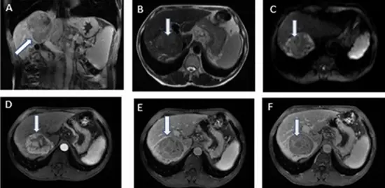
Materials and methods: The study involved 55 patients with liver tumors (20 with HCA and 35 with HCC), featuring 106 lesions equally distributed between hepatic carcinoma and hepatic adenoma who underwent texture analysis on ADC map MR images. The analysis identified several imaging features that significantly differed between the HCA and HCC groups. Four classification models were compared for distinguishing HCA from HCC including linear support vector machine (linear-SVM), radial basis function SVM (RBF-SVM), random forest (RF), and k-nearest neighbor (KNN).
Results: The k-nearest neighbor (KNN) classifier displayed the top accuracy (0.89) and specificity (0.90). Linear-SVM and KNN classifiers showcased the leading sensitivity (0.88) for both, with the KNN classifier achieving the highest precision (0.9). In comparison, the conventional interpretation had lower sensitivity (70.1%) and specificity (77.9%).
Conclusion: The study found that utilizing ADC maps for texture analysis in MR images is a viable method to differentiate HCA from HCC, yielding promising results in identified texture features.

ارسال نظر