Direct comparison of full protocol MRI and modified non-contrast MRI in staging of cervical cancer: a retrospective study
Background and purpose: Cervical cancer is the fourth most common cancer and the fourth leading cause of cancer death among women worldwide. Appropriate treatment can reduce mortality rate and improve prognosis, where the choice of appropriate treatment option is closely related to the preoperative staging. In this study, we compared full protocol MRI (including contrast-enhanced images) and modified protocol (including only T2-weighted sequence and DWI + ADC map images) in preoperative cervical cancer staging based on the 2018 Federation of Gynecology and Obstetrics (FIGO) classification system.
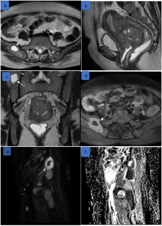
Material and methods: In this retrospective cross-sectional study, pelvic MRIs of 128 patients with cervical cancer were evaluated. For all patients, staging was performed by two independent radiologists according to the 2018 FIGO Staging Classification, first based on modified protocol and then based on full protocol MRI. Inter-modality agreement was evaluated by Cohen's kappa, intraclass correlation coefficient (ICC), and concordance correlation coefficient (CCC).
Results: There was very good agreement between the modified and full protocols in preoperative staging of cervical cancer (weighted kappa: 0.967) with a low number of discrepancies. There was also a high level of agreement between two modalities in the determination of parametrium, pelvic side wall, bladder, intestine, uterine, and lymph node involvements, as well as hydronephrosis and vascular encasement. Tumors at stage I had significantly higher ADC values compared to higher-stage tumors (p-value: 0.003).
Conclusion: Based on our study, modified MRI (including T2WI and DWI images) had substantial agreement with full protocol MRI in preoperative cervical cancer staging, suggesting its potential as a reliable contrast-free alternative for clinical practice.

ارسال نظر