The Use of Feature Tracking Technique for the Quantification of Ventricular Strain Pattern in Patients with Ebstein’s Anomaly: A Case Control Study
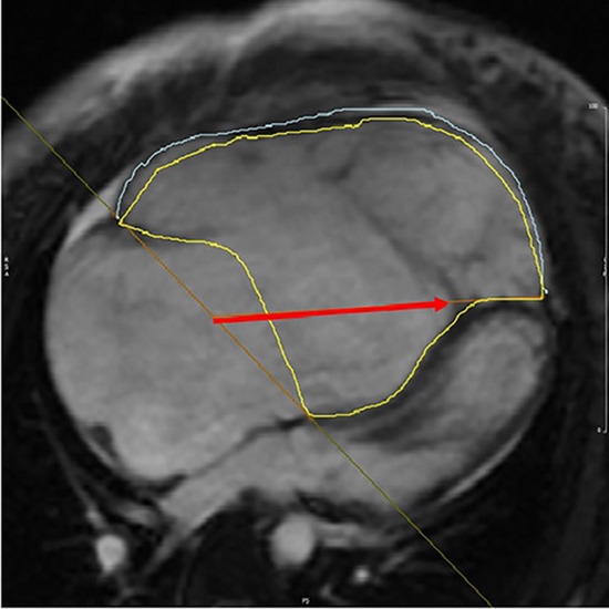
Background: Ebstein's anomaly (EA) is a congenital heart disorder characterized by abnormal function of the tricuspid valve. There are several ways to study tissue composition using magnetic resonance imaging (MRI). One of the most accurate methods is strain calculation using the feature tracking (FT) technique. Due to the novelty of the FT technique in cardiac magnetic resonance (CMR) imaging, there is a lack of comprehensive guidelines to conduct FT-MRI and to present a quantitative report. The current study is aimed to evaluate the FT technique in EA patients and to compare the obtained numerical values with those of healthy individuals.
Methods: A total of 33 individuals were enrolled in a study conducted in 2018-2019 at Shahid Rajaei Hospital, Tehran, Iran. Radial, longitudinal, and circumferential strain patterns of the left and right ventricles were determined in both the patients and the controls using the FT technique. Data were analyzed using SPSS software, version 22.0.
Results: The results showed a significantly lower left ventricular (LV) radial strain in EA patients compared to the control group (P=0.002). In addition, the right ventricular (RV) global longitudinal strain (GLS) in EA patients was significantly lower than in the controls (P=0.001). Other parameters (LV global longitudinal strain, RV radial strain, LV circumferential strain, and RV circumferential strain) did not differ significantly between the two groups.
Conclusion: Determination of strain patterns using cardiac MRI is a promising method for the diagnosis of EA. Markers such as LV longitudinal strain and RV-GLS are the most suitable parameters for the early diagnosis of heart dysfunction

ارسال نظر