مرکز تحقیقات رادیولوژی نوین و تهاجمی | Endoscopic sinus surgery for Pott’s tumor in pregnancy

مرکز تحقیقات رادیولوژی نوین و تهاجمی | Endoscopic sinus surgery for Pott’s tumor in pregnancy
سایت دانشگاه | 16 بهمن 1404
logo

مرکز تحقیقات رادیولوژی نوین و تهاجمی

دانشگاه علوم پزشکی تهران

  • تاریخ انتشار : 1403/12/27 - 11:09
  • : 52
  • زمان مطالعه : کمتر از یک دقیقه

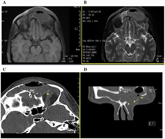
Functional Endoscopic Sinus Surgery in Management of Pott’s Puffy Tumor in a Pregnant Woman: A Clinical Case Report and Literature Review

Endoscopic sinus surgery for Pott's tumor in pregnancy {faces}

PPT is a life‐threatening intracranial complication, which is essential to be considered in both children and adults presenting with sinusitis symptoms.

  • Article_DOI : 10.1002/ccr3.70087
  • نویسندگان : seyed ali dehghan manshadi,nahid shafiee
  • گروه خبر : پژوهش,case report
  • کد خبر : 292767
کلمات کلیدی
مدیر سیستم
تهیه کننده:

مدیر سیستم

0 نظر برای این مطلب وجود دارد

ارسال نظر

نظر خود را وارد نمایید:

متن درون تصویر را در جعبه متن زیر وارد نمائید *
متن مورد نظر خود را جستجو کنید
تنظیمات پس زمینه