مرکز تحقیقات رادیولوژی نوین و تهاجمی | Liver hydatidosis disease with portal vein invasion

مرکز تحقیقات رادیولوژی نوین و تهاجمی | Liver hydatidosis disease with portal vein invasion
logo

مرکز تحقیقات رادیولوژی نوین و تهاجمی

دانشگاه علوم پزشکی تهران

  • تاریخ انتشار : 1403/12/26 - 08:40
  • : 89
  • زمان مطالعه : 1 دقیقه

Liver hydatidosis disease with portal vein invasion: Report of a rare case and review of literature

Liver hydatidosis disease with portal vein invasion {faces}

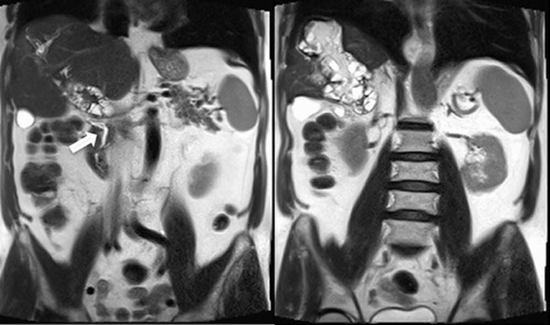
Hydatid disease is a zoonosis caused by Echinococcus granulosus. Humans are aberrant intermediate hosts and following the infection, the parasite may infest any organ of the body, with the liver and lungs being the most involved organs. Portal vein involvement by hydatid cyst disease is extremely rare with only seven cases published to our knowledge. We present a 62-year-old Persian male with an incidental liver cyst. His laboratory tests were in normal ranges. The ultrasonography (US), computed tomography (CT) and magnetic resonance imaging (MRI) findings show hydatid disease of the liver with distal portal vein involvement and collateral venous formations. The patient is being followed and has not gone under surgery yet. It possesses a propensity to invade multiple organ systems, notably the liver and lungs. Hydatid disease is imposing a significant burden on healthcare systems specifically in developing countries. Manifestations of the disease are often non-specific, while a subset of the infected population remains asymptomatic. Portal vein invasion and obstruction is a rare complication, and it is important to distinguish it from vein thrombosis, as the management of these entities requires different approaches.

  • Article_DOI : 10.1016/j.radcr.2023.10.048
  • نویسندگان : niloofar ayoobi yazdi,alimohamad moradi
  • گروه خبر : پژوهش,case report
  • کد خبر : 292607
مدیر سایت
تهیه کننده:

مدیر سایت

0 نظر برای این مطلب وجود دارد

ارسال نظر

نظر خود را وارد نمایید:

متن درون تصویر را در جعبه متن زیر وارد نمائید *
متن مورد نظر خود را جستجو کنید
تنظیمات پس زمینه