مرکز تحقیقات رادیولوژی نوین و تهاجمی | Us and mri in a Fetus with Sacrococcygeal Teratoma

مرکز تحقیقات رادیولوژی نوین و تهاجمی | Us and mri in a Fetus with Sacrococcygeal Teratoma
سایت دانشگاه | 15 بهمن 1404
logo

مرکز تحقیقات رادیولوژی نوین و تهاجمی

دانشگاه علوم پزشکی تهران

  • تاریخ انتشار : 1403/11/28 - 11:22
  • : 97
  • زمان مطالعه : کمتر از یک دقیقه

Ultrasonography and Magnetic Resonance Imaging in a Fetus with Sacrococcygeal Teratoma: A Case Report

Ultrasonography and mri in a Fetus with Sacrococcygeal Teratoma {faces}

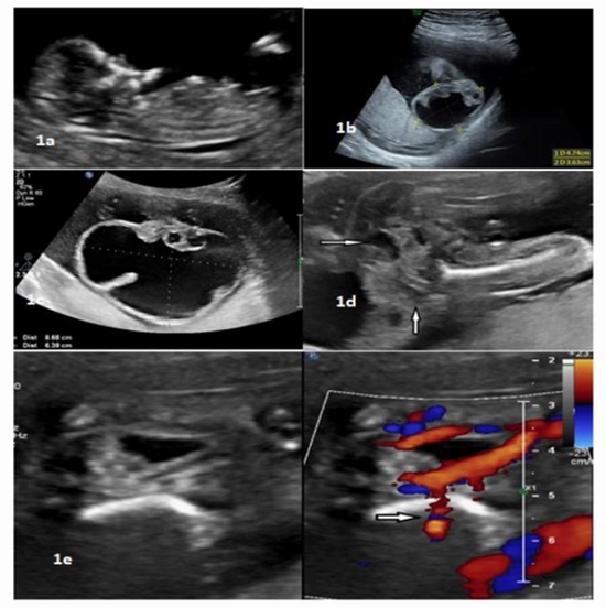
Background & Objective: Sacrococcygeal teratomas (SCTs) are uncommon germ cell tumors with significant perinatal and postnatal mor­tality and morbidity rate.
Case Report: We present a case of large fast growing (86x63mm) mostly cystic SCT in a 27-year-old woman with 23 weeks of gestational age and normal first trimester ultrasound exam. The fetus was evaluated by both magnetic resonance imaging (MRI) and ultrasonography.
Conclusion:  Findings regarding tumor location, size, and content were similar for both sonography and MRI methods, though vascular pattern was detected with higher accuracy and more details by sonography. Meanwhile, MRI provided more appropriate information about tumor effects on surrounding tissue and conus location.

  • Article_DOI : 10.30699/jogcr.3.4.26
  • نویسندگان : behnaz moradi,masoumeh banihashemian
  • گروه خبر : پژوهش,case report
  • کد خبر : 290564
مدیر سیستم
تهیه کننده:

مدیر سیستم

0 نظر برای این مطلب وجود دارد

ارسال نظر

نظر خود را وارد نمایید:

متن درون تصویر را در جعبه متن زیر وارد نمائید *
متن مورد نظر خود را جستجو کنید
تنظیمات پس زمینه