مرکز تحقیقات رادیولوژی نوین و تهاجمی | مقایسه بیوفیدبک و درمان استاندارد در سندرم انسدادی دفع

مرکز تحقیقات رادیولوژی نوین و تهاجمی | مقایسه بیوفیدبک و درمان استاندارد در سندرم انسدادی دفع
logo

مرکز تحقیقات رادیولوژی نوین و تهاجمی

دانشگاه علوم پزشکی تهران

طرح های پژوهشی مرکز تحقیقات رادیولوژی

  • تاریخ انتشار : 1404/01/18 - 10:48
  • تعداد بازدید کنندگان خبر : 143
  • زمان مطالعه : کمتر از یک دقیقه

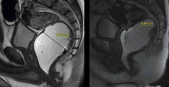
بررسی تاثیر بیوفیدبک تراپی نسبت به درمان استاندارد بر روی شاخصهای ام آر دفیکوگرافی در بیماران مبتلا به سندرم انسدادی دفع :در یک مطالعه کارآزمایی بالینی موازی دو سوکور تصادفی

مقایسه بیوفیدبک و درمان استاندارد در سندرم انسدادی دفع
  • کد خبر : 293329
مدیر سیستم
تهیه کننده:

مدیر سیستم

0 نظر برای این مطلب وجود دارد

ارسال نظر

نظر خود را وارد نمایید:

متن درون تصویر را در جعبه متن زیر وارد نمائید *
متن مورد نظر خود را جستجو کنید
تنظیمات پس زمینه