مرکز تحقیقات رادیولوژی نوین و تهاجمی | Doppler US and US Elastography is Superior to Doppler US or US

مرکز تحقیقات رادیولوژی نوین و تهاجمی | Doppler US and US Elastography is Superior to Doppler US or US
سایت دانشگاه | 17 بهمن 1404
logo

مرکز تحقیقات رادیولوژی نوین و تهاجمی

دانشگاه علوم پزشکی تهران

  • تاریخ انتشار : 1404/08/05 - 12:10
  • : 54
  • زمان مطالعه : 1 دقیقه

Combination of Doppler US and US Elastography is Superior to Doppler US or US Elastography Alone in Detecting Delayed Kidney Graft Rejection

Doppler US and US Elastography is Superior to Doppler US or US Elastography {faces}

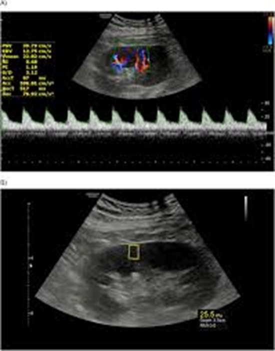
Objectives: To compare the performance of Doppler ultrasound (US) and US elastography with their combination in detecting delayed graft rejection.

Methods: A prospective cross-sectional study of 60 consecutive adult kidney transplant recipients was done. Patients with creatinine > 1.5 mg/dL and a minimum interval of 3 months from renal transplant surgery were recruited. All patients underwent both Doppler US and US elastography. A direct head-to-head comparison was made. A glomerular filtration rate (eGFR) < 50 was regarded as delayed graft rejection. A resistive index (RI) value ≥ 0.79 was considered abnormal.

Results: RI was more strongly correlated to age, diabetes mellitus, and hypertension with Pearson correlation coefficients of 0.414, 0.390, and 0.386, respectively, while stiffness (kPa) exhibited a stronger correlation to the time period since surgery. Using radiological findings to estimate observed eGFR showed an adjusted R2 of 0.135. Doppler US alone, US elastography alone, and combined Doppler US + US elastography + clinical data, respectively, showed area under curve (AUC) values of 0.668 (95% CI = 0.535 to 0.735), 0.641 (95% CI = 0.507 to 0.761), and 0.792 (95% CI = 0.667 to 0.886) in detecting delayed graft rejection. Estimating RI using clinical and US elastography findings showed AUC of 0.811 (95% CI = 0.689 to 0.901), with sensitivity of 61.5% (95% CI = 40.6 to 79.8) and specificity of 91% (95% CI = 76.3 to 98.1).

Conclusion: Monitoring renal allografts using a combination of Doppler US and US elastography, in conjunction with clinical data, may provide additional early diagnostic and clinical advantages.

  • Article_DOI : doi.org/10.1002/jcu.70051
  • نویسندگان : afshin mohammadi,masume charmi
  • گروه خبر : پژوهش,research article
  • کد خبر : 308338
کلمات کلیدی
نفیسه السادات قوامی
تهیه کننده:

نفیسه السادات قوامی

0 نظر برای این مطلب وجود دارد

ارسال نظر

نظر خود را وارد نمایید:

متن درون تصویر را در جعبه متن زیر وارد نمائید *
متن مورد نظر خود را جستجو کنید
تنظیمات پس زمینه