مرکز تحقیقات رادیولوژی نوین و تهاجمی | Pheochromocytoma in a patient with heterotaxy syndrome

مرکز تحقیقات رادیولوژی نوین و تهاجمی | Pheochromocytoma in a patient with heterotaxy syndrome
سایت دانشگاه | 04 اسفند 1404
logo

مرکز تحقیقات رادیولوژی نوین و تهاجمی

دانشگاه علوم پزشکی تهران

  • تاریخ انتشار : 1404/01/16 - 09:13
  • : 136
  • زمان مطالعه : 1 دقیقه

Pheochromocytoma in a patient with heterotaxy syndrome: a case report

Pheochromocytoma in a patient with heterotaxy syndrome {faces}

Background

Heterotaxy syndrome is a rare congenital condition characterized by abnormal arrangement of thoracoabdominal organs, often associated with complex cardiac and splenic anomalies. Pheochromocytoma is a rare neuroendocrine tumor that overproduces catecholamines, leading to various complications. The co-occurrence of heterotaxy syndrome and pheochromocytoma has not been previously reported. This case report presents a unique finding of pheochromocytoma in a patient with heterotaxy syndrome and a functioning ectopic spleen, offering novel clinical insights.

Case presentation

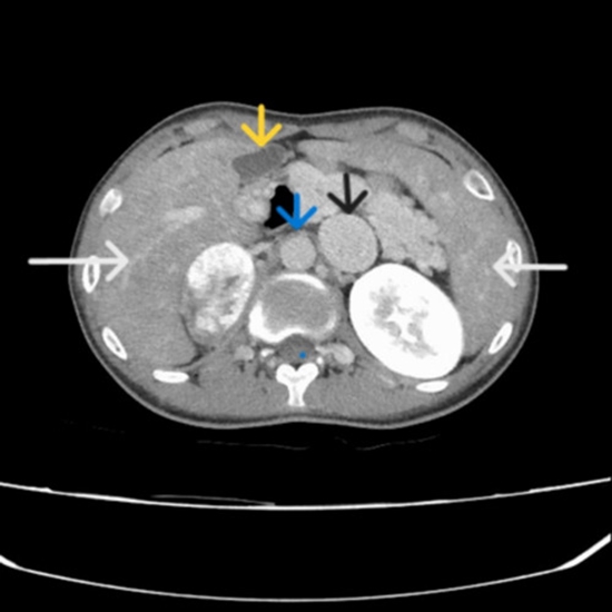
A 19-year-old male with congenital heart disease was incidentally found to have a right adrenal mass during abdominal ultrasonography which followed abnormal lab results. Computed tomography (CT) scans confirmed abnormal organ positioning consistent with heterotaxy syndrome, including a midline liver, right-sided colon, and the absence of a spleen in its typical location. Subsequent scintigraphy with Technetium-99 m denatured red blood cells revealed a functioning ectopic spleen in the left subdiaphragmatic space. The right adrenal mass was confirmed to be pheochromocytoma based on elevated urinary catecholamine levels. Despite recommendations for surgery, the patient chose medical management with alpha-blockers and remained stable over a one-year follow-up with no significant events.

Conclusions

This case is notable concurrency of pheochromocytoma and heterotaxy and for the rare occurrence of a functioning ectopic spleen in a patient with heterotaxy syndrome, a condition where splenic anomalies typically manifest as asplenia or polysplenia. The importance of extensive imaging, particularly Tc-99 m labeled denatured erythrocyte scintigraphy imaging, is emphasized, as routine imaging like CT scans may fail to detect ectopic organs. Additionally, the concurrent presence of pheochromocytoma (PCC) and heterotaxy syndrome, although rare, raises intriguing questions about their potential link. While this case does not explore the association in detail, chronic hypoxia caused by congenital cardiovascular anomalies in heterotaxy syndrome could activate hypoxia-inducible factors (HIFs), which may promote tumorigenesis, including the development of PCC. Future studies are warranted to explore these mechanisms further and clarify the pathophysiological connection between heterotaxy syndrome, hypoxia, and PCC.

  • Article_DOI :
  • نویسندگان : farid farahani rad, fatemeh esfahanian
  • گروه خبر : پژوهش,case report
  • کد خبر : 293116
کلمات کلیدی
مدیر سیستم
تهیه کننده:

مدیر سیستم

0 نظر برای این مطلب وجود دارد

ارسال نظر

نظر خود را وارد نمایید:

متن درون تصویر را در جعبه متن زیر وارد نمائید *
متن مورد نظر خود را جستجو کنید
تنظیمات پس زمینه