مرکز تحقیقات رادیولوژی نوین و تهاجمی | Skull base osteomyelitis: A case report of Garcin syndrome

مرکز تحقیقات رادیولوژی نوین و تهاجمی | Skull base osteomyelitis: A case report of Garcin syndrome
سایت دانشگاه | 26 بهمن 1404
logo

مرکز تحقیقات رادیولوژی نوین و تهاجمی

دانشگاه علوم پزشکی تهران

  • تاریخ انتشار : 1403/12/21 - 09:54
  • : 91
  • زمان مطالعه : کمتر از یک دقیقه

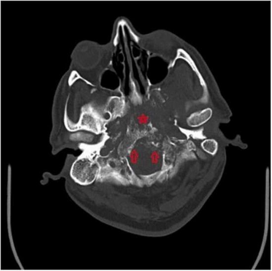
Skull base osteomyelitis: A case report of Garcin syndrome due to mucormycosis in COVID pandemic

 {faces}

Garcin syndrome is characterized by progressive unilateral multiple cranial nerve palsy without the presence of intracranial hypertension. In this case, we present a patient who experienced lower cranial nerve (CN 9–12) involvement attributed to post-mucormycosis osteomyelitis of the skull base. The osteomyelitis resulting from mucormycosis led to the development of Garcin syndrome, which manifested as progressive paralysis of the cranial nerves. It is important to recognize this rare complication and consider it in the differential diagnosis when evaluating patients with lower cranial nerve palsy following mucormycosis-related skull base osteomyelitis.

  • Article_DOI : 10.1016/j.idcr.2023.e01827
  • نویسندگان : azin tabari,sevil nasirmohtaram
  • گروه خبر : پژوهش,case report
  • کد خبر : 292270
مدیر سیستم
تهیه کننده:

مدیر سیستم

0 نظر برای این مطلب وجود دارد

ارسال نظر

نظر خود را وارد نمایید:

متن درون تصویر را در جعبه متن زیر وارد نمائید *
متن مورد نظر خود را جستجو کنید
تنظیمات پس زمینه