مرکز تحقیقات رادیولوژی نوین و تهاجمی | VBDS-Related Jaundice as First Sign of Hodgkin Lymphoma

مرکز تحقیقات رادیولوژی نوین و تهاجمی | VBDS-Related Jaundice as First Sign of Hodgkin Lymphoma
سایت دانشگاه | 17 بهمن 1404
logo

مرکز تحقیقات رادیولوژی نوین و تهاجمی

دانشگاه علوم پزشکی تهران

  • تاریخ انتشار : 1403/12/21 - 13:19
  • : 146
  • زمان مطالعه : کمتر از یک دقیقه

Vanishing bile duct syndrome related jaundice as the first presentation of Hodgkin lymphoma

VBDS-Related Jaundice as First Sign of Hodgkin Lymphoma {faces}

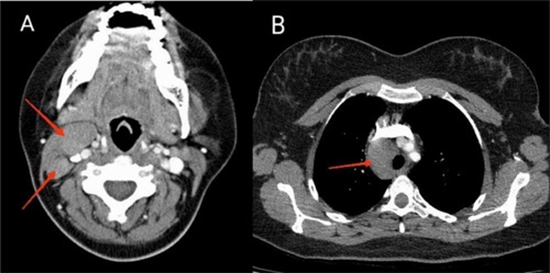
Vanishing bile duct syndrome is a rare, acquired disease that has been described in different pathologic conditions' including adverse drug reactions, autoimmune diseases, graft vs host disease, and neoplasms. It is a condition characterized by progressive loss of intrahepatic bile ducts leading to ductopenia and cholestasis. Here we report a 27-year-old female who presented with jaundice and cholestatic hepatitis and was finally diagnosed with vanishing Bile duct syndrome secondary to Hodgkin lymphoma. Physicians need to consider a range of differential diagnoses, especially malignancies, in suspected cases of vanishing bile duct syndrome.

  • Article_DOI : 10.1016/j.radcr.2023.06.051
  • نویسندگان : faeze salahshour ,milad mellat-ardakani
  • گروه خبر : پژوهش,case report
  • کد خبر : 292338
کلمات کلیدی
مدیر سیستم
تهیه کننده:

مدیر سیستم

0 نظر برای این مطلب وجود دارد

ارسال نظر

نظر خود را وارد نمایید:

متن درون تصویر را در جعبه متن زیر وارد نمائید *
متن مورد نظر خود را جستجو کنید
تنظیمات پس زمینه