مرکز تحقیقات رادیولوژی نوین و تهاجمی | ارزش تشخیصی DWIو ADC و perfusion MRI و MRS در افتراق ادم ریکتیو

مرکز تحقیقات رادیولوژی نوین و تهاجمی | ارزش تشخیصی DWIو ADC و perfusion MRI و MRS در افتراق ادم ریکتیو
logo

مرکز تحقیقات رادیولوژی نوین و تهاجمی

دانشگاه علوم پزشکی تهران

طرح های خاتمه یافته

  • تاریخ انتشار : 1404/01/17 - 12:35
  • تعداد بازدید کنندگان خبر : 116
  • زمان مطالعه : کمتر از یک دقیقه

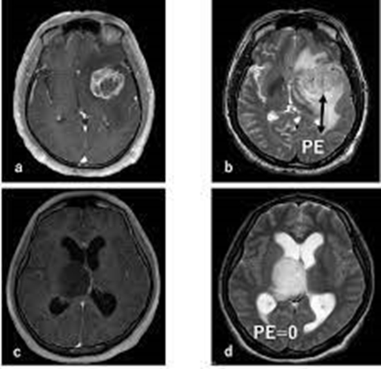
بررسی ارزش تشخیصی DWIو ADC و perfusion MRI و MRS در افتراق ادم ریکتیو از ادم اینفیلتراتیو در بیماران مبتلا به گلیومای مغزی

 ارزش تشخیصی DWIو ADC و perfusion MRI و MRS در افتراق ادم ریکتیو از ادم اینفیلتراتیو در بیماران مبتلا به گلیومای مغزی
  • کد خبر : 293239
مدیر سایت
تهیه کننده:

مدیر سایت

0 نظر برای این مطلب وجود دارد

ارسال نظر

نظر خود را وارد نمایید:

متن درون تصویر را در جعبه متن زیر وارد نمائید *
متن مورد نظر خود را جستجو کنید
تنظیمات پس زمینه