مرکز تحقیقات رادیولوژی نوین و تهاجمی | Expanded intravenous mesenchymal chondrosarcoma with thrombosis

مرکز تحقیقات رادیولوژی نوین و تهاجمی | Expanded intravenous mesenchymal chondrosarcoma with thrombosis
logo

مرکز تحقیقات رادیولوژی نوین و تهاجمی

دانشگاه علوم پزشکی تهران

  • تاریخ انتشار : 1404/08/07 - 13:06
  • : 52
  • زمان مطالعه : 1 دقیقه

Expanded intravenous mesenchymal chondrosarcoma with clinical presentation of deep vein thrombosis

Expanded intravenous mesenchymal chondrosarcoma with clinical presentation of deep vein thrombosis {faces}

Background

Mesenchymal chondrosarcoma (MCS) is a rare malignancy primarily arising from bone or soft tissue. It typically manifests in young adults and is hypothesized to originate from primitive chondroblasts. Extraskeletal MCS (EMCS), particularly those primarily involve intravenous sites, are exceedingly rare. This study presents a rare case of extensively intravascular EMCS.

Case presentation

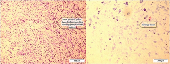
We report a case of a 26-year-old woman initially misdiagnosed with deep vein thrombosis (DVT) due to persistent leg swelling and edema. Unresponsive to standard treatment, she was referred to our center for further evaluation. She presented with a palpable mass in her left groin. A contrast-enhanced abdominopelvic CT scan revealed a large, lobulated intravascular mass that extended from the left common femoral vein to the intrahepatic segment of the inferior vena cava. The mass displayed heterogeneous enhancement, extensive necrosis, and characteristic calcifications. An ultrasound-guided biopsy followed by histopathological and immunohistochemical analysis identified a biphasic pattern of small round to spindle-shaped cells, with hemangiopericytoma-like and chondroid differentiation. The tumor was positive for vimentin and CD99, while negative for several other markers, confirming the diagnosis of MCS. Due to the extensive nature of the tumor and its critical location, surgical options were limited. Following the diagnosis, the patient received chemotherapy as a treatment intervention. Despite these efforts, she unfortunately succumbed to the disease seven months later.

Conclusion

This case underlines the importance of considering alternative diagnoses such as sarcoma in patients presenting with symptoms typical of more prevalent conditions like DVT, particularly when standard treatments fail.
  • Article_DOI : doi.org/10.1016/j.heliyon.2025.e43617
  • نویسندگان : golnaz moradi
  • گروه خبر : پژوهش,research article
  • کد خبر : 308678
نفیسه السادات قوامی
تهیه کننده:

نفیسه السادات قوامی

0 نظر برای این مطلب وجود دارد

ارسال نظر

نظر خود را وارد نمایید:

متن درون تصویر را در جعبه متن زیر وارد نمائید *
متن مورد نظر خود را جستجو کنید
تنظیمات پس زمینه