مرکز تحقیقات رادیولوژی نوین و تهاجمی | Ultrasound and mri features of fetal intracranial cystic

مرکز تحقیقات رادیولوژی نوین و تهاجمی | Ultrasound and mri features of fetal intracranial cystic
logo

مرکز تحقیقات رادیولوژی نوین و تهاجمی

دانشگاه علوم پزشکی تهران

  • تاریخ انتشار : 1403/05/03 - 12:33
  • : 170
  • زمان مطالعه : کمتر از یک دقیقه

Ultrasound and magnetic resonance imaging features of fetal intracranial cystic lesions: A pictorial essay

Ultrasound and mri features of fetal intracranial cystic {faces}

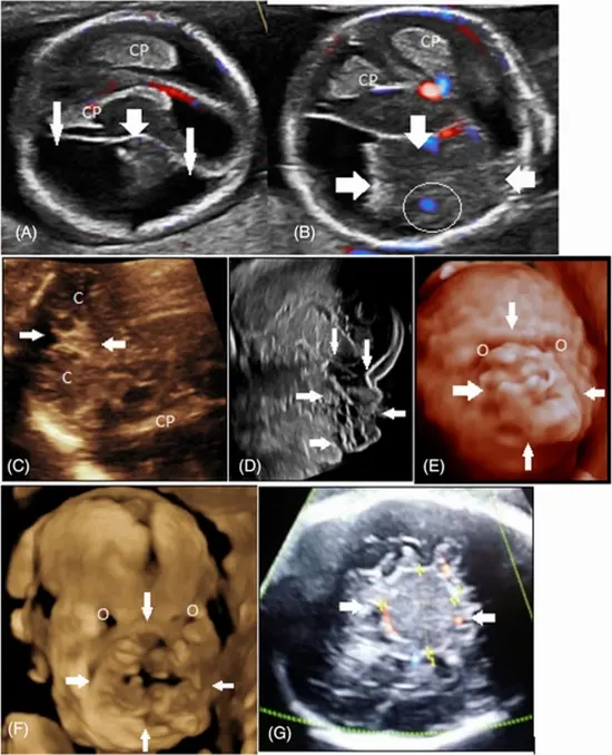
This pictorial essay focuses on ultrasound (US) and magnetic resonance imaging (MRI) features of fetal intracranial cysts. Intracranial cysts are common findings in prenatal imaging, and if great attention is paid to their size, location, and imaging features, they can be diagnosed accurately. They are usually detected by fetal ultrasound exams. However, when ultrasound data on cystic lesion characteristics is insufficient, MRI and fetal neurosonogram are the best options for detecting other associated anomalies. The prognosis is highly dependent on their location and whether they are associated with other fetal anomalies.

  • Article_DOI : 10.1002/jcu.23256
  • نویسندگان : morteza sanei taheri,behnaz moradi,mohammad ali kazemi,mohammad hossein golezar, soraya saleh gargari , samira golezar
  • گروه خبر : پژوهش,مقالات,research article
  • کد خبر : 272686
کلمات کلیدی
مدیر سایت
تهیه کننده:

مدیر سایت

0 نظر برای این مطلب وجود دارد

ارسال نظر

نظر خود را وارد نمایید:

متن درون تصویر را در جعبه متن زیر وارد نمائید *
متن مورد نظر خود را جستجو کنید
تنظیمات پس زمینه