مرکز تحقیقات رادیولوژی نوین و تهاجمی | ارزش تشخیصی کنتراست پویا مغناطیسی در پیش بینی پاسخ به شیمی درمان

مرکز تحقیقات رادیولوژی نوین و تهاجمی | ارزش تشخیصی کنتراست پویا مغناطیسی در پیش بینی پاسخ به شیمی درمان
سایت دانشگاه | 03 اسفند 1404
logo

مرکز تحقیقات رادیولوژی نوین و تهاجمی

دانشگاه علوم پزشکی تهران

طرح های پژوهشی مرکز تحقیقات رادیولوژی

  • تاریخ انتشار : 1404/01/17 - 11:14
  • تعداد بازدید کنندگان خبر : 89
  • زمان مطالعه : کمتر از یک دقیقه

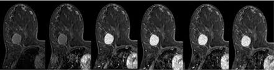
ارزش تشخیصی کنتراست پویا مغناطیسی تقویت شده (DCE/MRI) پرفیوژن در پیش بینی پاسخ به شیمی درمانی Neoadjuvant در سرطان پستان

کنتراست تقویت شده (DCE-MRI) پرفیوژن در پاسخ به شیمی درمانی Neoadjuvant در سرطان پستان
  • کد خبر : 293203
مدیر سیستم
تهیه کننده:

مدیر سیستم

0 نظر برای این مطلب وجود دارد

ارسال نظر

نظر خود را وارد نمایید:

متن درون تصویر را در جعبه متن زیر وارد نمائید *
متن مورد نظر خود را جستجو کنید
تنظیمات پس زمینه