مرکز تحقیقات رادیولوژی نوین و تهاجمی | سی تی اسکن قفسه سینه مربوط به برونکوپنومونی ایجاد شده توسط کرونا

مرکز تحقیقات رادیولوژی نوین و تهاجمی | سی تی اسکن قفسه سینه مربوط به برونکوپنومونی ایجاد شده توسط کرونا
سایت دانشگاه | 06 اسفند 1404
logo

مرکز تحقیقات رادیولوژی نوین و تهاجمی

دانشگاه علوم پزشکی تهران

طرح های پژوهشی مرکز تحقیقات رادیولوژی

  • تاریخ انتشار : 1404/01/17 - 10:00
  • تعداد بازدید کنندگان خبر : 112
  • زمان مطالعه : کمتر از یک دقیقه

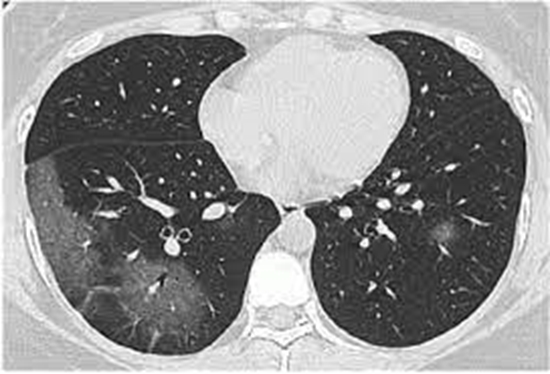
مقایسه یافته های سی تی اسکن قفسه سینه مربوط به برونکوپنومونی ایجاد شده توسط کرونا ویروس عامل 19 COVID در بیماران دیابتی ایجاد شدهی و غیر دیابتی مبتلا به 19 COVID بستری شده در مجتمع بیمارستانی امام خمینی تهران در اسفند 1398 و فروردین 1399

سی تی اسکن قفسه سینه مربوط به برونکوپنومونی ایجاد شده توسط کرونا
  • کد خبر : 293187
مدیر سایت
تهیه کننده:

مدیر سایت

0 نظر برای این مطلب وجود دارد

ارسال نظر

نظر خود را وارد نمایید:

متن درون تصویر را در جعبه متن زیر وارد نمائید *
متن مورد نظر خود را جستجو کنید
تنظیمات پس زمینه