مرکز تحقیقات رادیولوژی نوین و تهاجمی | Spontaneous ovarian hyperstimulation syndrome in a nonpregnant

مرکز تحقیقات رادیولوژی نوین و تهاجمی | Spontaneous ovarian hyperstimulation syndrome in a nonpregnant
logo

مرکز تحقیقات رادیولوژی نوین و تهاجمی

دانشگاه علوم پزشکی تهران

  • تاریخ انتشار : 1404/03/20 - 09:52
  • : 57
  • زمان مطالعه : کمتر از یک دقیقه

Spontaneous ovarian hyperstimulation syndrome mimicking ovarian cancer in a nonpregnant woman: A case report and literature review

Spontaneous ovarian hyperstimulation syndrome {faces}

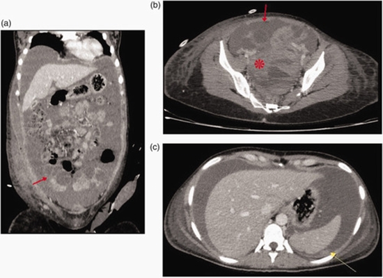
Spontaneous ovarian hyperstimulation syndrome is an extremely rare condition, especially in nonpregnant women who do not exhibit exogenous ovarian stimulation. Herein, we present a case of spontaneous ovarian hyperstimulation syndrome in a 28-year-old nonpregnant woman who presented with life-threatening multiorgan dysfunction. Initial imaging studies and tumor marker assessment suggested the presence of a malignant ovarian tumor, posing substantial diagnostic challenges. The patient underwent emergency surgery due to severe hemorrhagic shock. Intraoperative findings revealed irregular and deformed ovaries; however, histologic examination showed luteinizing hemorrhagic cysts, leading to a diagnosis of spontaneous ovarian hyperstimulation syndrome. This case highlights the importance of considering spontaneous ovarian hyperstimulation syndrome in the differential diagnosis of ovarian enlargement with ascites, even in the absence of pregnancy or ovarian stimulation. It also underscores the critical role of expert radiological interpretation in such complex cases.

  • Article_DOI : 10.1177/03000605251332908
  • نویسندگان : setare akhavan,mina sadat mosavat
  • گروه خبر : پژوهش,research article
  • کد خبر : 299397
نفیسه السادات قوامی
تهیه کننده:

نفیسه السادات قوامی

0 نظر برای این مطلب وجود دارد

ارسال نظر

نظر خود را وارد نمایید:

متن درون تصویر را در جعبه متن زیر وارد نمائید *
متن مورد نظر خود را جستجو کنید
تنظیمات پس زمینه